少女“消失”的头发,居然在胃里?!
近日,河南省人民医院小儿外科专家联合儿科、皮肤科专家,为一名脱发、贫血“胃毛石症”患儿成功实施手术,从其胃和十二指肠中取出重达1.1公斤的巨大毛石,解除了困扰患儿已久的病痛。
这天,临近下班时间,12岁的姑娘小徐被父母带来河南省人民医院看脱发。
女孩头发稀疏,多处头皮已经裸露了出来,同时面色苍白、身形消瘦。起初,家人以为只是普通的脱发或营养不良。
然而,皮肤科医生问诊后,敏锐地察觉到孩子头发异常脱落,并非相关皮肤疾病造成,建议立即转儿科进一步检查。

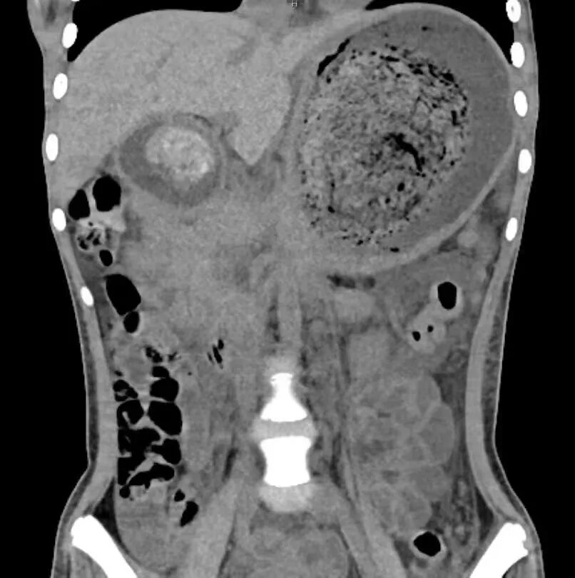
在儿科,接诊大夫为孩子进行了血液、影像检查,病因谜团才逐渐解开:小徐严重贫血,更让人不解的是影像检查显示,她的胃部有一个巨大的包块!
这到底是什么?
胃镜下的一幕,让医护人员心疼不已:巨大的包块竟是孩子“消失”的头发!密密麻麻、缠绕成团!
它是导致孩子“脱发”和严重贫血的元凶。
河南省人民医院小儿外科主任医师鲍俊涛会诊后,专家团队明确诊断小徐患的是“胃毛石症”。
这是一种罕见的消化道异物,主要由吞食的毛发所组成。如果摄入的毛发从胃延伸到小肠甚至更远,则被称为长发公主综合征,更为罕见。
由于该毛石体积巨大,且已导致患儿出现进食困难,医护人员将小徐的手术排在了第二天第一台,由鲍俊涛主刀。

从患儿体内取出的巨大毛石
“孩子长期吞食的毛发与食物残渣混合在一起,已经变成了坚硬的毛石,占满了整个胃,就连十二指肠里都是。”鲍俊涛解释,这团巨大的毛石被完整取出来时,与胃、十二指肠形态一模一样,重达1.1公斤!
从毛石的重量、坚硬程度判断,这并非一朝一夕造成的。鲍俊涛解释,青少年时期的孩子,很容易出现心理疾病,像吞食毛发的异常行为可能与心理问题密切相关。
鲍俊涛呼吁家长,在孩子成长的关键时期,家长应该多给予孩子陪伴和关心。多一些关注、交流和沟通,让孩子远离伤害,健康成长。
来源:河南省人民医院
编辑:刘斐斐 审核:荣强